Are you considering cosmetic dentistry in Van Nuys, CA?
A beautiful smile can enhance your self-confidence and even improve your oral health in some cases.
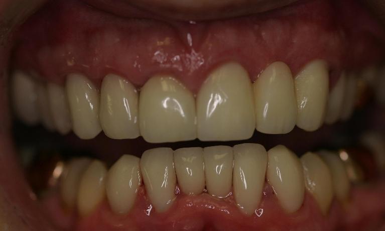
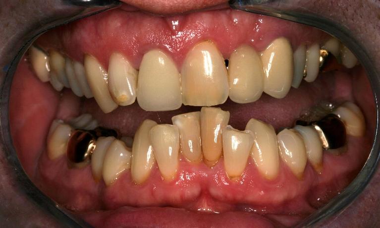
Our dental team can help with chipped, mishappen, discolored, and crooked teeth to help you achieve your best smile.
If you’d like to schedule an exam or chat with one of the top dentists in Van Nuys, CA, contact Peter Suh, DDS today. In the meantime, read through the questions below to learn more about cosmetic dentistry in the 91405 area.
Is cosmetic dentistry in Van Nuys a good choice for me?
The Dental Care Center takes every precaution to make sure cosmetic dentistry is the right option for you. We have several top 91405 dentists on staff, and the first step on your smile journey is an exam and chat.
Your dentist will ask questions and learn what you hope to achieve with your smile. Are you looking for a full smile makeover or dental implants, white teeth, or straight teeth? Your dentist will walk you through the options to help you get the smile of your dreams.
Generally, if you’re reasonably healthy, cosmetic dentistry is a good option. Considerations may be made for restorations or oral health problems, but these issues don’t necessarily rule out cosmetic dentistry. Your Van Nuys, CA dentist will work to help you achieve your smile goal.
What procedures do 91405 dentists offer, and how do they work?
When you come in for your consultation, you will quickly learn that our dentists have more than 40 years of experience and hundreds of successful cosmetic dentistry cases in the books. We work with only the highest quality laboratories to ensure the highest quality results, and we have a milling machine on-site for same-day crowns in Van Nuys.
During your exam and chat, we ask you questions about what kind of smile you are hoping for and make our treatment recommendations. Depending on your smile desires, we might recommend one or more of the following:
Porcelain Veneers in Van Nuys, CA
If you would like to transform your smile without an invasive procedure, talk to your Van Nuys dentist about porcelain veneers. Porcelain veneers are wafer-thin shells made with medical-grade ceramic. They are a very effective, permanent solution to cracked, chipped, or discolored teeth. They cover the front of your teeth to conceal these issues.
Porcelain veneers also help with small gaps between teeth and gummy smiles. Porcelain veneers are designed to take your smile to the next level.
Dental Crowns
A ceramic or porcelain crown will restore the strength and appearance of a broken tooth or a tooth damaged because of a large filling. If you are getting a dental bridge or dental implants, or if you need a tooth restored, your dentist may recommend a crown as part of your treatment plan.
Porcelain crowns are more durable and slightly more expensive than ceramic crowns. Ceramic crowns run the risk of cracking without proper care, but they can be equally as effective as porcelain crowns for restoring a damaged tooth or capping a dental implant. Crowns are also used to improve the appearance of a misshapen or discolored tooth.
Our on-site milling machine and software mean that we can create a quality crown in a single day.
Dental Implants
When one or more teeth are missing, it is crucial to address the problem immediately before additional teeth in the mouth are affected. Not only are aesthetics a consideration, but eating and speaking might also become tricky if teeth are missing.
As an alternative to dentures for complete edentulism (the loss of all teeth), dental implants offer a more natural solution, providing you with the form and function of your regular teeth. Because dental implants are placed directly into the jawbone, they help prevent bone shrinkage, so you don’t develop a sunken-in, aged look.
Tooth-Colored Fillings
If you have decayed teeth or tooth flaws, composite fillings or composite bonding material offer an inexpensive way to restore damaged teeth in a color that matches the rest of your teeth.
Metal-free composite fillings bond easily to the existing tooth structure and blend in with your natural teeth. Because of this, they are ideal for fillings that might show when you smile or for repairing a tooth in the front of the mouth. Composite fillings also serve to strengthen the existing tooth structure.
Professional Teeth Whitening in Van Nuys, CA
Teeth whitening is one of the simplest cosmetic procedures, but it will instantly brighten your smile. You can have teeth several shades whiter in just a single visit with this safe, easy, cost-effective cosmetic dental procedure.
Say goodbye to brown, yellow, and stained teeth in Van Nuys, CA! Maybe just in time for your best friend’s wedding.
Ridge Augmentation
Sometimes, tooth loss comes an “indentation” in the gums or jawbone where the missing tooth used to be. Because there is nothing to support it, the jawbone shrinks, resulting in an unnatural look. Ridge augmentation rebuilds the contours of the jaw and gums. After the procedure, dental implant placement provides a natural-looking jaw and smile.
Smile Makeovers
Smile makeovers consider your oral health and the look of your smile. The process borrows from several aspects of dentistry to give you the smile you desire. For example, a smile makeover may mean dental fillings for untreated cavities, teeth whitening for discoloration, and dental implants to fill in smile gaps. With a smile makeover, multiple services may be utilized to reach the desired result.
What are the oral health benefits of cosmetic dentistry?
Many of today’s cosmetic dental options provide beautiful smiles and better oral health. Dental crowns, for example, conceal tooth flaws but also shore up a weak tooth against breakage. Dental implants stand-in for missing teeth and help prevent shifting, bone loss, bite issues, and enamel erosion. Smile makeovers consider both the health and beauty of your teeth. These are only some examples of cosmetic dentistry contributing to your oral health and wellness.
Aside from the physical, an attractive smile may also contribute to your emotional well-being.
Is cosmetic dentistry in Van Nuys expensive?
Cosmetic dentistry prices vary depending on the services chosen, but we can usually find treatments to fit most budgets. Our dentists can also work with you on a timeline that fits your finances.
Remember that many cosmetic dentistry options are an investment in your long-term oral health and emotional wellness.
Do you offer any financing?
Our Van Nuys dentists want to help you achieve the smile you desire, which is why we accept a variety of payment options, including CareCredit, a credit card that allows you to get the smile you’ve been looking for without expensive up-front costs. CareCredit means monthly payments with zero interest. Applying is simple, and decisions arrive within minutes.
We also accept most major credit cards and encourage you to discuss cost and payment options further with a member of our compassionate team.
Schedule a Smile Consultation with Your Cosmetic Dentist in Van Nuys, CA Today!
Learn more about cosmetic dentistry treatments by scheduling your appointment at The Dental Care Center today. Let us answer your questions, clarify the procedures, and reassure you that the treatment result will be a smile you can’t help but smile about!
We see patients in the San Fernando Valley region of Los Angeles County and the neighboring Valley Glen, Sun Valley, Sherman Oaks, Sepulveda Basin, Panorama City, Northridge, North Hills, Lake Balboa, and other surrounding locales.