The Dental Care Center
Orthodontics
Straight Teeth for Healthy Smiles

Orthodontic treatment goes far beyond appearances. When teeth are properly aligned, it often means a healthier, more comfortable smile.

Two Women wearing Invisalign in Van Nuys, CA

Orthodontics in Van Nuys, CA

If you have crooked teeth, you might be embarrassed about the appearance of your smile. This is normal and understandable. Everyone wants a smile they feel good about!

But you might not be aware of the fact that teeth that are overlapped or crowded can actually have an impact on your overall dental health. Proper arrangement of your teeth, jaws, and mouth can also prevent issues such as gum disease, jaw alignment problems, and teeth grinding. At The Dental Care Center in Van Nuys, CA, we offer convenient orthodontic treatment for patients of all ages. Regardless of your age, investing in orthodontic treatment today is an investment in your future tomorrow.

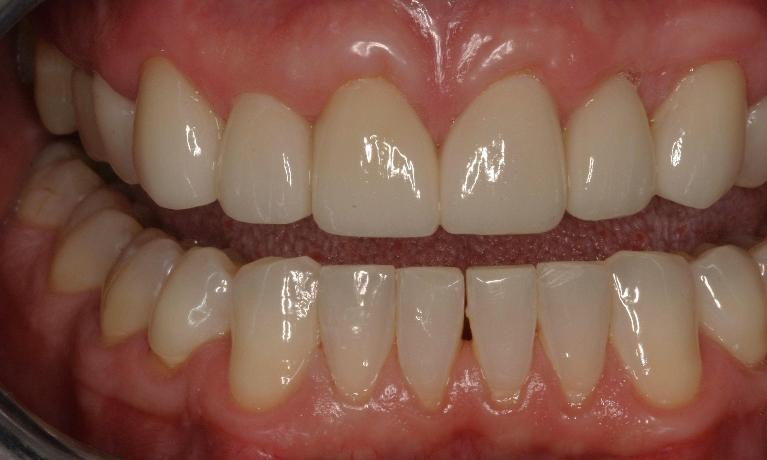
Close up of dental patient after orthodontic treatment in Van Nuys, CAIn addition to traditional metal braces, we offer other options, including Invisalign invisible braces and hidden wire braces. Let us turn your smile into one you can’t wait to show the world!

We invite you to read below for more information on orthodontics at our Van Nuys, CA dental office. Then call to make an appointment for a consultation to learn more about orthodontics and Invisalign.

Orthodontic Treatment Benefits Your Oral Health

There are two good reasons to consider orthodontic treatment at our Van Nuys, CA dental clinic: (1) Your smile will look better, and (2) your smile will function better. Did you know that people with misaligned or crooked teeth are more prone to developing tooth decay? Most people also find that it is easier to keep an aligned smile clean because flossing and brushing will be easier. Crooked teeth can create hard-to-reach areas, so you might be missing them when you brush and floss.

When you love the look of your smile because you have lovely straight teeth, you might also be more motivated to take better care of them.

When Traditional Orthodontics Might Be Your Best Option

In some cases, traditional orthodontics provide our Van Nuys, CA patients with the best way to reach their goals for their smiles. These situations include the following:

  • If you have a jaw that is misaligned, meaning the upper and lower teeth do not meet properly, treatment with traditional orthodontics is usually recommended.
  • When an overbite or underbite is so severe, other orthodontics methods such as clear braces, may not be able to make the correction.
  • Teeth that are extremely overcrowded might benefit from traditional orthodontics.
  • Wide spaces or gaps in your smile are often better treated with traditional wire and bracket braces.

The best way to find out which orthodontic treatment might best for your situation is to talk to a top Van Nuys, CA dentist.

Advanced Orthodontic Treatment for Your Best Smile

If you have crooked and uneven teeth, you might feel self-conscious about smiling. Why not talk to The Dental Care Center about some of the orthodontic options that are available? Left untreated, orthodontic issues can cause problems down the road, including decay of your teeth and problems with your jaw.

Straightening your teeth does not have to mean a mouth full of metal, nor does it have to mean spending several years visiting the orthodontist. Although we still do offer traditional metal braces, we can also talk with you about other options that are both discreet and effective. Imagine getting straight, beautiful teeth without brackets, wires, or rubber bands.

Let us create a custom treatment plan so you can reach all your orthodontic treatment goals! We have specialists under one roof who are ready to customize a treatment plan that can address all your oral health and aesthetic concerns.

Orthodontic Treatment Can Be Fast, Effective—and Invisible

We are pleased to offer Invisalign as an option at The Dental Care Center. This clinically proven technique will straighten teeth and improve your smile without the look of traditional metal braces.

With Invisalign, we can treat teeth that are crowded, protruding, and have extra spaces and gaps. Invisalign can also correct an overbite. If you have been hesitant to commit to braces to straighten your teeth, talk to us about Invisalign. With this nearly invisible orthodontic solution, we have helped many patients achieve the smile they have always dreamed about.

Invisalign in Van Nuys, CA

Patients who opt for Invisalign will receive a series of aligners that will gently and gradually move the teeth into an aligned position. These clear aligners are removable—and they are barely visible, even to someone who is sitting across from you. Care for your teeth while undergoing Invisalign treatment is easy because the aligners are removed for eating and brushing.

Man smiling wearing Invisalign in Van Nuys, CAUnlike traditional metal braces, which can limit the types of food you eat and make cleaning your teeth difficult, the removable Invisalign devices ensure your life is not disrupted for orthodontics.

The Benefits of Invisalign Clear Braces

If you are considering braces in Van Nuys, CA, your gain goal is more than likely because you want a lovely straight smile. With Invisalign, you can achieve that. But the good news is that there are other benefits to Invisalign’s clear plastic aligner treatment.

  • It’s easier to take care of your teeth during treatment. It is difficult to brush and floss with traditional wire-and-bracket braces, but since Invisalign’s clear plastic aligners are removable, brushing and flossing is easy. This can also go a long way toward protecting the health of your gums.
  • You can eat all of your favorite foods with Invisalign. Since you can remove the clear plastic aligners, there are no worries about breaking anything as there is with traditional orthodontics.
  • If you have a special social occasion or job interview, you can remove the custom trays for a short period of time if you want to be sure no one knows you are undergoing orthodontic treatment in Van Nuys, CA. Just be sure to put them back in as soon as you are able.

Find out more about Invisalign and its many advantages by contacting our Van Nuys, CA dental office.

The Importance of Compliance

We usually recommend Invisalign to older, responsible teens and adults because compliance is so crucial to successful treatment. You must leave in the clear plastic aligners in for at least 22 hours per day if you are to reach your smile goals. Since they are so easily removed, it is up to you to be diligent about wearing your clear plastic aligners the way your Van Nuys, CA dentist directs.

Insurance Coverage for Invisalign

If you’re wondering how to manage the cost of Invisalign in Van Nuys, CA, you’ll be pleased to know that your dental insurance might cover a portion of it. The best way to find out is to have us review your insurance plan to see what if any benefits will apply. We can go over your out-of-pocket costs at that time as well

We also accept credit cards, as well as third-party lender CareCredit, which provide other options for payment

Make an Appointment with our 91405 Dentist Today

If you are hiding your smile because you are embarrassed about a crooked or uneven smile, find out about Invisalign or other options for orthodontics in Van Nuys, CA by calling The Dental Care Center today!

Frequently Asked Questions

The cost for Invisalign in Van Nuys will vary from patient to patient depending on multiple factors, including:

 1. whether the patient has dental insurance and how much their insurance will cover

 2. how many aligners the patient needs

 3. whether the patient wants to straighten their entire smile or focus more on their visible front teeth.

Cost of Invisalign in Van Nuys, CA

Invisalign Express treatments that are shorter and less comprehensive will be less expensive than full treatments. Invisalign Express typically costs somewhere in the range of $1,000 to $3,000 or more. 

Invisalign Full, which is the standard experience that most Invisalign patients opt for, is understandably more expensive than Invisalign Express. The Invisalign cost in Los Angeles will usually range from $3,000 or $3,500 to around $8,000, with the most complex cases costing $8,500 or more. 

If you are interested in orthodontia but are worried about the cost of Invisalign, you have several options:

  • We accept most major PPO and HMO dental insurance plans, and dental insurance will often cover a large portion of the cost of Invisalign.
  • Our dentists are sometimes willing to make special payment arrangements with patients who are self-paying and not using dental insurance. If you’re interested in establishing a payment plan, be sure to discuss this during your Invisalign consultation before beginning treatment.
  • You can pay for your treatment through the third-party financing company, CareCredit, at a low-interest rate. Our dental office can help you fill out your application the next time you visit us.

Invisalign is an investment in your smile that rewards you for decades after your treatment is over. To learn more about your payment options, please contact our dentists in Van Nuys today.

Have you ever thought that Invisalign clear braces sound too good to be true? Well, they aren’t! With Invisalign in Van Nuys, CA, you can straighten your smile without the inconvenience of metal while still keeping your orthodontia low-profile.

A Series of Clear Aligners

While traditional metal braces typically stay on your teeth for years at a time, Invisalign uses a progressive series of clear aligner trays that you switch out every few weeks. We tailor your Invisalign treatment specifically for your mouth, which means that each tray you wear gets your smile a little closer to where it needs to be. 

You start by wearing your first straightening tray in the series for at least 22 hours each day. After approximately two weeks, you will discard this first tray and move on to the second tray. Your Invisalign aligners use gentle forces and pressure to move your teeth as you progress from aligner to aligner.

Gradual Teeth Straightening 

When you treat with Invisalign in Van Nuys, our dentists design a treatment plan that’s specific for your mouth. The amount of trays you’ll need to wear throughout the program varies, but typical patients can require as few as 20 or as many as 50 or more. 

Your teeth will move gradually at a rate that’s safe and appropriate for you. Because your trays are made from clear plastic, and because you remove the trays for eating each day, you’ll be able to see your progress as your teeth start to straighten out. 

Get Started With Invisalign in Van Nuys, CA

To learn more about Invisalign treatment at The Dental Care Center, please contact our dentist office in Van Nuys today at (818) 651-7206.

At The Dental Care Center, we consider ourselves your Van Nuys Invisalign specialists. We’re here to answer any questions you have about clear braces and explain more about the benefits of straightening your smile with aligners. 

The right treatments for orthodontics in Van Nuys not only give you a smile you can feel good about, but can also provide social and professional benefits, improve your oral health, and increase your self-confidence. 

Benefits of Invisalign Clear AlignersClose up of woman putting on tray of Invisalign aligners near Van Nuys CA

Invisalign is such a popular treatment option because it allows you to straighten your teeth subtly and discreetly while you’re going about your daily life at work, school, or at home.  The more common benefits of Invisalign include:

  • Removable aligners that can come out for eating and special occasions
  • Clear, unobtrusive material that’s more comfortable than metal  braces
  • No dietary restrictions
  • Fewer oral health complications because it’s easy to brush and floss your teeth

Invisalign is a great treatment for many different dental conditions. If you have any of these oral problems, Invisalign can help:

  • Crooked teeth
  • Crowded teeth
  • Gaps between teeth
  • Overbite
  • Protruding teeth

Using clear, plastic aligners that gently move your teeth into place, Invisalign is a clinically proven way to achieve a beautiful smile without metal, rubber bands, or extended treatment times. 

From the initial visit to the last retainer check, we want to exceed our patients’ expectations. Please call our 91405 dental office today to schedule an appointment with our board-certified orthodontist.

Invisalign is a popular orthodontic treatment that uses custom-made, clear, mouthpiece-like aligners to gradually straighten teeth.

To achieve the best possible results and ensure your dental health during and after the treatment, it’s very important to keep your clear aligners clean. 

Tips for Keeping Your Aligners Clean and Clear

  1. Brush and floss before wearing your aligners to help prevent bacteria from getting trapped between your teeth and the aligners
  2. If you eat or drink anything other than water, rinse your mouth with water before putting your aligners back in to help remove residue or food particles
  3. Gently clean your aligners at least twice a day with a soft-bristled toothbrush and non-abrasive toothpaste, using warm water (hot water can warp or damage the aligners)
  4. Soak your aligners in a denture cleaning solution or a mixture of water and vinegar to help remove buildup and keep them clear
  5. When you're not wearing your aligners, store them in their case to prevent damage.

Invisalign in Van Nuys, CA

If you’re in the Van Nuys area and would like to learn whether Invisalign is right for you and how best to care for your aligners, contact dentist Dr. Peter Suh and the team at The Dental Care Center to schedule an appointment!

  • Peter Suh DMD

    Dr. Peter Suh is a general dentist and owner of The Dental Care Center. A graduate of UC San Diego and Tufts University School of Dental Medicine, he has been ...

    Read More
  • Nicholas Ravon DDS

    Dr. Nicolas Ravon has specifically trained and developed advanced expertise for the most challenging cases. In fact, his skills as a cosmetic dentist and periodontist have often been called on ...

    Read More
  • Anthony Guerrero DDS

    Dr. Anthony Guerrero grew up in Orange County, California, and received his Bachelor of Science degree from UCLA. After college, he moved to New York City to attend Columbia University ...

    Read More
  • Mark Yafai DDS, MD

    Mark Yafai DDS, MD, is an oral surgeon at The Dental Care Center and has been with the practice for four years. He received his training at UCLA, receiving both ...

    Read More
  • Esther Feldman DMD, M.Sc., F.R.C.D.

    Dr. Feldman is a Canadian-born, board-certified orthodontist currently residing in Los Angeles, California. She attended dental school at the prestigious McGill University in Montreal, Quebec. Upon completion, she was accepted ...

    Read More
  • Inbo Cho DDS

    With The Dental Care Center for a decade, Inbo Cho, DDS, received his Bachelor of Science degree from Northwestern University. He went on to attend the Columbia University School of ...

    Read More
If you have difficulty using our website, please email us or call us at (818) 781-1533
View the ADA Accessibility Statement
Privacy Policy