The Dental Care Center

Smile Gallery

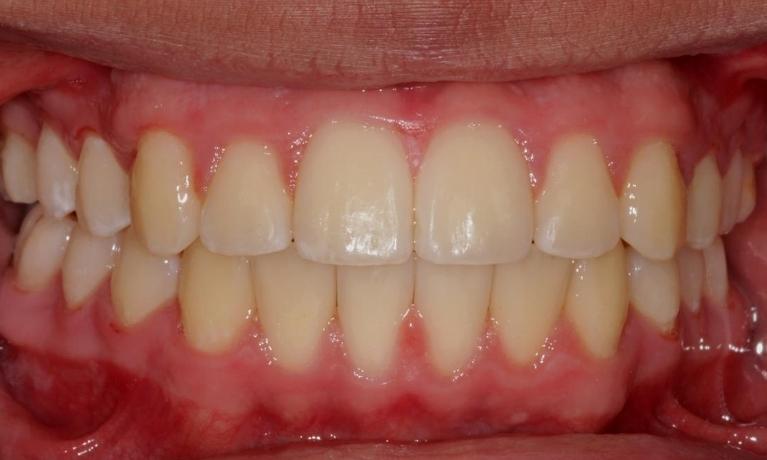
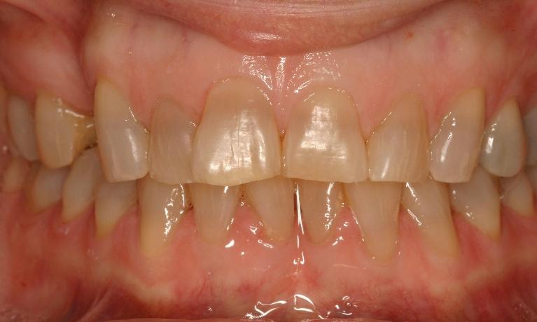
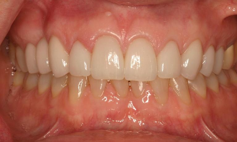
Nothing shows off our practice better than happy, smiling patients. After all, a healthy, beautiful smile is a very valuable attribute. If you don’t have a smile you are happy about, this can produce a negative impact on all aspects of your life.

At The Dental Care Center, we have worked with many patients over the years, helping them achieve smiles they want to show off. If you are concerned with the form and function of your smile, look no further than our smile gallery to see the work we have done with our patients. Each photo in our gallery is a real patient we have treated. Let us transform your smile, too!

Ready to book an appointment?
"You guys are amazing!"
If you have difficulty using our website, please email us or call us at (818) 781-1533
View the ADA Accessibility Statement