The Dental Care Center
Restorative Dentistry
You Don’t Have to Live with Damaged or Missing Teeth

We offer restorative treatments to help you get back the form and function of your smile.

Man wearing dental implants in Van Nuys, CA

Restorative Dentistry in Van Nuys, CA

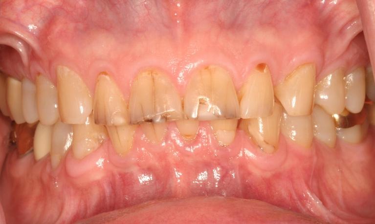
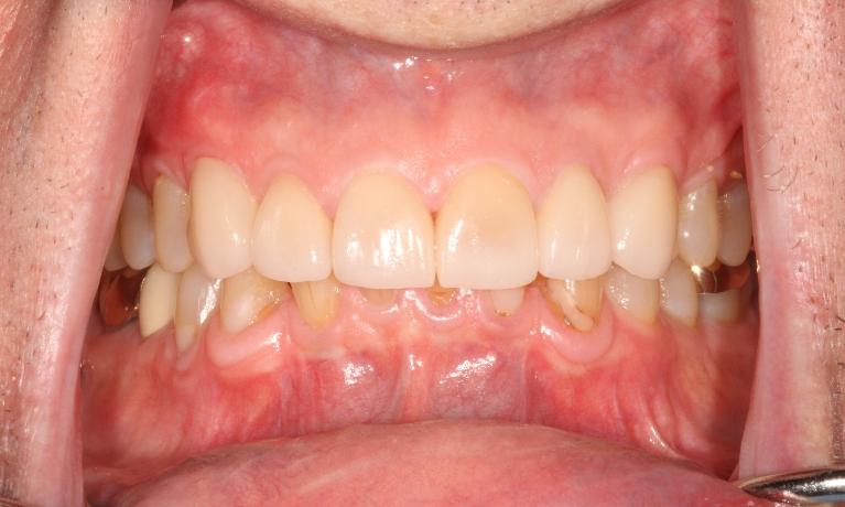
Man giving woman piggy back ride near our 91405 dentist officeIf you have chipped, cracked, or missing teeth, you might be noticing a difference not only in your smile but in the way your teeth function. Along those same lines, if you are dealing with cavities—particularly large, older cavities with fillings that might be weakening—you might be feeling discomfort while you chew.

Luckily, there is no need to live with these types of problems because restorative dental care at The Dental Care Center can correct these issues.

Restorative Dentistry for Good Form—and Good Function

If you have damaged or diseased teeth, you’ll be in good hands with The Dental Care Center. Our dentists have combined experience of more than 40 years in general dentistry, including restorative. Depending on your needs, our dentists might recommend any of the following procedures:

Dental Implants

Dental implants might be a good option for patients who are missing one, more, or even all of their teeth to improve the function of their natural teeth. Dental implants are secured directly to the jawbone and a crown is placed on top of the implant for an appearance that mimics your natural teeth. At The Dental Care Center, we will place and restore dental implants, and we offer both traditional and mini-implants, giving patients a one-stop shop for all things implant-dentistry related. 

Crowns

In cases where a tooth is chipped or cracked, or so full of decay it can no longer hold a filling, a dental crown might be your best option.  We use dental crowns that cover only the portion of the tooth that is above the gum line. Once it is put into place, the crown helps to reinforce the structure of the remaining portion of the tooth.

Woman in treatment chair at our restorative dentist in Van Nuys, CAInlays and Onlays

When an old filling has to be removed or replaced and an entire crown may not be necessary, dental inlays and onlays can be used instead. An inlay fits inside the cusp tips of the tooth, quite similar to the way a filling does. An onlay, however, extends beyond the cusps of the tooth. One of the major benefits of inlays and onlays is that there is no expansion and contraction as with a traditional filling; hence, inlays and onlays strengthen a tooth whereas a filling weakens it.

Bridges

When a single tooth or a few teeth in a row have been lost, it is imperative they are replaced as soon as possible. Most people don’t realize that one tooth lost generally leads to more teeth lost, and this can be avoided with a dental bridge. The bridge, which is made of zirconia, uses prosthetic teeth to fill in the space left behind by a missing tooth or teeth. The prosthetic teeth restore the function and feel of the missing teeth. Two dental crowns (or dental implants) are used to hold the bridge into place.

Contact Our Van Nuys Dental Team Today!

If you have a number of dental issues that need to be repaired, you will want to discuss a full mouth reconstruction with the doctors at The Dental Care Center. Similar to a smile makeover, it does more than address just the aesthetics of a patient’s smile. It also considers the function and health of the mouth.

If you are a candidate for a full mouth reconstruction, you might be suffering from jaw pain, failing dental work, lost teeth, and other issues. A detailed checklist and a thorough examination will help determine what procedures might be necessary. Patients who undergo this rather extensive treatment will see a full wax-up of their final smile and will wear custom temporaries while the work is being completed.

Find out if a full mouth reconstruction is right for you by calling The Dental Care Center in Van Nuys, CA, to schedule a consultation

Frequently Asked Questions

Damaging a tooth or experiencing tooth wear can be stressful and painful, making eating and speaking difficult. But with today’s modern dentistry treatments, there’s no need for your quality of life to suffer when you have a chipped, broken, or cracked tooth.

Options for Restorative Dentistry in Van Nuys

Using dental bonding, CEREC dental crowns, and composite tooth-colored fillings in Van Nuys, we can restore your smile beautifully. With the right dental treatment, you can eat the foods you love and laugh and speak with confidence again without worry.

Our specialists are also highly trained in restoring missing teeth and performing root canals when needed. While many dentists must send patients to a specialist in a different office, you can get all your treatment needs met at The Dental Care Center in the 91405 area.

What Are CEREC Dental Crowns?

Our patients love getting their permanent same-day dental crowns in only one day with our CEREC technology.

Are you interested in CEREC tooth crowns? If x-rays show that your tooth is not broken below the gum line, you can take advantage of this convenient, same-day treatment.

How does it work? First, our digital camera takes an optical impression of your tooth without the need for sticky molds. Using three-dimensional software, we can customize and adjust your dental crown without the need for a follow-up appointment. Getting a new crown for your tooth has never been easier!

Contact The Dental Care Center to Get Started

To learn more about the different dental restorations we offer, give The Dental Care Center a call today at (818) 781-1533! 

Patient smiling at professional dental cleaning in Van Nuys CA Dental Cleanings in Van Nuys

A routine dental cleaning in Van Nuys is an essential part of maintaining healthy gums. When gums are healthy and good home care is practiced by the patient, bacteria and tarter buildup between teeth is minimal. In this situation, a routine cleaning is all that is needed. 

A deep cleaning—also referred to as “scaling and root planing”—is needed when bacteria and tarter buildup are more severe. Often as a result of the buildup, “pockets” develop between the teeth and gums, so a deep cleaning is required to clear them out.

Restorative dentistry refers to procedures that repair or restore damaged, decayed, or missing teeth. Restorative dentistry often goes hand-in-hand with cosmetic dentistry since repairing your teeth can also enhance your smile.

Services Included Under Restorative Dentistrywoman sitting in dental exam chair | restorative dentist van nuys ca

Restorative dentistry in Van Nuys, CA may include but is not limited to:

  • Dental crowns
  • Tooth implants
  • Inlays and onlays
  • Dental fillings
  • Orthodontics
  • Root canal treatment
  • Dental implants

These are just a few of the services you'll find at The Dental Care Center in Van Nuys. Our team of specialists combines their skills and expertise to provide our patients with comprehensive dental care in one convenient location.

Dental Specialists We Offer

Some of the dental specialists we have on-staff include:

  • General dentists
  • Periodontics and implant dentistry
  • Endodontics - (root canal treatment)
  • Oral surgery
  • Orthodontics

We make it easy for families to get all of their dental care under one roof, working with a team of specialized dentists dedicated to their needs.

Contact Our Dental Team To Learn More

Are you looking for an excellent dentist in the Van Nuys area? We would encourage you to contact The Dental Care Center at (818) 781-1533 to learn more about how we can help you take care of your smile!

New patients are always welcome at The Dental Care Center, and we can't wait to meet you!

 

 

  • Peter Suh DMD

    Dr. Peter Suh is a general dentist and owner of The Dental Care Center. A graduate of UC San Diego and Tufts University School of Dental Medicine, he has been ...

    Read More
  • Nicholas Ravon DDS

    Dr. Nicolas Ravon has specifically trained and developed advanced expertise for the most challenging cases. In fact, his skills as a cosmetic dentist and periodontist have often been called on ...

    Read More
  • Anthony Guerrero DDS

    Dr. Anthony Guerrero grew up in Orange County, California, and received his Bachelor of Science degree from UCLA. After college, he moved to New York City to attend Columbia University ...

    Read More
  • Mark Yafai DDS, MD

    Mark Yafai DDS, MD, is an oral surgeon at The Dental Care Center and has been with the practice for four years. He received his training at UCLA, receiving both ...

    Read More
  • Esther Feldman DMD, M.Sc., F.R.C.D.

    Dr. Feldman is a Canadian-born, board-certified orthodontist currently residing in Los Angeles, California. She attended dental school at the prestigious McGill University in Montreal, Quebec. Upon completion, she was accepted ...

    Read More
  • Inbo Cho DDS

    With The Dental Care Center for a decade, Inbo Cho, DDS, received his Bachelor of Science degree from Northwestern University. He went on to attend the Columbia University School of ...

    Read More
If you have difficulty using our website, please email us or call us at (818) 781-1533
View the ADA Accessibility Statement